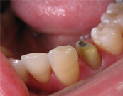
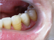
今までは機能面に対する要求が高かった歯科治療も、最近では機能はもちろんのこと、見た目に対する関心もかなり高くなってきました。
当院ではそういった要望に応えるべく、多種にわたる審美治療を提供しています。
特に金属アレルギーの面からもメタルフリー(金属を一切使用しない)の治療を推奨しています。
| ハイブリッドインレー | 小臼歯 27,500円 大臼歯 33,000円 |
|---|---|
| ハイブリッド | 55,000円 |
| メタルボンド | 88,000円 |
| オールセラミック | 110,000円 |
| ラミネートベニア | 110,000円 |
| ファイバーコア | 前歯 22,000円 臼歯 27,500円 |
素敵な笑顔を形成するのに審美修復は心強い味方となってくれることでしょう。







