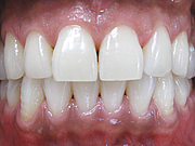
歯の色が気になる方にホワイトニング(歯の漂白)をおすすめしております。
特にご自宅で手軽に行えるホームホワイトニングは若い方からご年配の方にも人気です。
患者様のお口にあったトレー(マウスピースのようなもの)を作成し、漂白の薬液を内側に注入してはめてもらいます。
通常3週間を目安に続けていただき、状況に応じて期間の調整をしていきます。
オフィスホワイトニング |
1本3,000円 |
|---|---|
ホームホワイトニング |
片顎 20,000円 全顎 30,000円 |
| ウォーキングブリーチ (神経が死んで変色した歯のホワイトニング) |
1本1回4,500円 |







