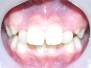
成長期に顎の骨を拡大し、永久歯を抜かずに治すことができた方の写真です。
矯正学会では7才までに矯正の専門医を受診することをすすめています。
LINEで歯並びの相談ができます(無料)
矯正担当歯科医師の森より直接返信いたします。電話では聞きづらいことでもお気軽にご質問ください。以下のバナーより友達登録のうえメッセージをお願いします。写真の貼り付けも可能です。
おくの歯科 歯並び矯正専用アカウント →
※あくまで診察・診断ではございません。
詳しくはご来院いただきカウンセリングののち、適切な診断・治療となりますのでご了承ください。
- 目立たない装置で
歯と同系色の審美ブラケットを用いて治療します。
- 歯を抜かずに
成長を利用することにより、可能な限り永久歯を間引くことなく治療を行います。(非抜歯治療)- カンタンに
矯正用インプラントにより、従来の面倒な装置を最小限にできます。(年齢に制限があります)- マウスピース矯正(インビザライン)
更に目立ちにくい装置で治療することもできます。
ただし、歯並びの状態によっては他の装置との併用が必要になったり、マウスピース 矯正が適用できない場合もあります。- 料金
-
一般的な矯正専門医では毎月3000円~7000円の調整管理費が別途必要ですが、当院では基本料金にこれをふくみますので、毎月の治療費の心配をすることなく矯正治療が受けられます。
矯正料金表 (税別) 初診カウンセリング 無料 検査料 30,000円 診断料 10,000円 基本料 小児矯正(混合歯列・I期治療)400,000円
成人矯正(永久歯列・II期治療)800,000円
マウスピース矯正(インビザライン) +100,000〜150,000円
※調整料・管理料込み部分矯正 100,000円~ 乳歯列の治療 90,000円 - かみ合わせが悪い場合の歯列矯正は医療費控除が適用されます。詳しくはお問い合わせください。
- 基本料金は分割払いが可能です(分割手数料はいただいておりません。)
矯正治療に関する注意とお願い
装置の使用について
- *医院の指示に従って装置を正しく使ってください。不適切な使用や協力が得られ ない場合、うまく治療が進まなかったり、望ましくない結果になることがあります。
- *装置の破損を防ぐため、硬いものや粘着性の高い食品は避けてください。
予約について
- *予約を守ってください。大きくずれると治療が遅れるだけでなく、治療計画の変 更が必要になる場合もあります。キャンセルを繰り返される場合には治療をお断りす る場合があります。
お口の清掃について
- *装置のまわりに食べ物がたまりやすいため、丁寧な清掃が重要です。日々のセル フケアをしっかり行いましょう。
- *取り外し式の装置もしっかり清掃してから使用してください。
- *清掃道具や薬剤は基本料金に含まれていません。
- *清掃が不十分だったり、虫歯や歯周病が進行した場合、歯科医師の判断でやむな く治療を中止することがあります。
装置による症状や注意点
- *装置の調整後は、歯が浮いたような痛みや口内炎ができることがあります。市販の薬で対応可能ですが、つらい場合はご連絡ください。
- *一時的に話しにくくなることがありますが、1〜2週間で慣れることが多いです。
- *唾液の増加や口の渇きを感じることがあります。
- *歯を移動させるための隙間づくりや、最終段階でのかみ合わせ調整のために歯を削ることがあります。
- *歯並びの変化により「ブラックトライアングル(歯と歯の間の隙間)」ができる場合があります。
- *偶発的に装置の部品を飲み込んだり、吸い込んでしまうことがあります。ご自身でじゅうぶんご注意ください。
- *顎関節に不調が出ることがあります(痛みや耳の違和感など)。
- *ごくまれにアレルギー反応や、歯が動かない(骨と癒着している)ことがあります。
- *成長に伴う顎骨の変化(オトガイの突出など)は矯正では治せず、外科手術が必要になる場合があります。
- *歯の根が短くなったり神経が死んでしまうことがあり、歯の寿命に影響する可能性があります。装置をいじったりして歯に不適切な力が加わるとその恐れが高くなります。
装置の管理と再治療について
- *装置が外れたり壊れたり、紛失した場合はすぐにご連絡ください。取り扱いの不注意・紛失の際の修理や再製作には費用がかかります。
- *矯正後は「保定装置」を使って歯並びを安定させます。悪い癖(指しゃぶりや舌の押し出し)もやめましょう。
- *保定期間中も、予約と指示を守ることが大切です。不十分な場合は再治療(有料)になることがあります。
- *通常、保定観察は2年間です。それ以降の調整は有料となります。
使用する装置・材料について
- *海外製の矯正装置や、薬機法の承認を得ていない装置を使用することがありますが、医師の責任において選定しています。
治療費について
- *治療を中断された場合も、治療費は原則返金されません。
- *治療方針や装置が変更されても基本料金に変更はありません。ただし、予約の遅れや協力が得られない場合は別途費用が発生することがあります。
- *抜歯やインプラントアンカー、他の歯科処置など1階での治療は別途料金となります。
プライバシーポリシー
- *当院では、以下の目的で患者様の個人情報を取得・利用し、適切に管理します。
- *矯正装置の製作のため、第三者に情報を提供する場合があります。
- *他の歯科医師や医療団体(国内外)と情報共有を行うことがあります(例:中国・ベトナム・メキシコ・コスタリカの関連会社)。
- *教育や研究開発のために利用することがあります。
- *個人情報を取り扱う企業は、日本と同程度の保護水準を確保しています。








